Lompat ke konten Lompat ke sidebar Lompat ke footer

Wie Viel Kostet Eine Krone

Zahnkrone Kosten Was Kostet Eine Zahnkrone Dentolo

Zahnkrone Kosten Was Kostet Eine Zahnkrone Dentolo

Wie viel kostet eine krone. Trotzdem muss niemand aus finanziellen Gründen auf ein schönes Lächeln und den Erhalt der medizinisch korrekten Kaufunktion verzichten. Der Eigenanteil liegt bei einer einfachen Kunststoffkrone bei ca. Abgesehen davon dass ein Implantat mit mindestens 1000 zu Buche schlägt benötigt es zwischen Krone und Implantat auch noch ein Verbindungselement.

Eine Teil-Keramik-Krone schlägt mit 400 bis 600 Euro zu Buche. Wie viel kostet eine Krone. Zahnersatz in Form von Zahnkronen stellt eine finanzielle Belastung dar.

Ihr Zahnarzt stellt vor Behandlungsbeginn einen Heil- und Kostenplan auf. Bin bei der AOK und habe eine Zahnzusatzversicherung die 75 bezahlen würde. Sie setzt zudem einen Zuschuss fest.

Um eine kleine Zahnlücke zu schließen soll 1 Backenzahn neu überkront werden obwahl der kein neues Karies hat. Der Zahn ist zum Stumpf beschliffen folglich müsste es doch wenigster Kosten verursachen. Das AbutmentManchmal können günstigere konfektionierte Implantataufbauten verwendet werden meistens aber kommen eigens gefertigte individuelle.

Für eine Krone die nicht aus Edelmetall besteht muss man mit einem Eigenanteil von 300 bis 500 Euro rechnen. Besuch im Bad Geschenk für eine Geburtstagsparty Kinobesuch oder Eis mit Freunden plus Taschengeld. Eine Krone kostet etwa 400 bis 800 Euro.

Möglich wird dies durch die verschiedenen Varianten in denen eine Zahnkrone zur Auswahl steht. Bei einer Goldkrone wird ein Eigenanteil von 500 bis 700 Euro fällig. Jede Krone ist eine Maßanfertigung.

Es ist also eine Privatleistung und der Zahnarzt will dafür 250 EUR haben. Selbstverständlich ist auch eine Teilverblendung der Backenzahn Krone oder Vollverblendung der Vorderzahn Krone möglich jedoch muss man diese dann selbst zahlen bzw.

Das Kostet Eine Zahnkrone Preise Zuschuss Eigenanteil Fur 2021

Das Kostet Eine Zahnkrone Preise Zuschuss Eigenanteil Fur 2021

Das Durfen Zahnkronen Kosten Die Unterschiede Im Uberblick

Das Durfen Zahnkronen Kosten Die Unterschiede Im Uberblick

Zahnkrone Kosten Informationen Zahnbehandlung Novacorpus

Zahnkrone Kosten Informationen Zahnbehandlung Novacorpus

Zahnkrone Arten Kosten Und Behandlung Check24

Zahnkrone Arten Kosten Und Behandlung Check24

Zahnkrone Arten Behandlung Kosten

Zahnkrone Arten Behandlung Kosten

Zahnersatz Zahnkronen Brucken Und Implantate Aok Die Gesundheitskasse

Zahnersatz Zahnkronen Brucken Und Implantate Aok Die Gesundheitskasse

Arten Der Zahnbehandlung Und Ihre Kosten Pkv Vorteile De

Arten Der Zahnbehandlung Und Ihre Kosten Pkv Vorteile De

Zahnkrone Kosten Und Behandlung Zahnarzt In Dusseldorf Dr Pantas

Zahnkrone Kosten Und Behandlung Zahnarzt In Dusseldorf Dr Pantas

Zahnersatz Kosten Wie Viel Kosten Neue Zahne Dentolo

Zahnersatz Kosten Wie Viel Kosten Neue Zahne Dentolo

Zahnkrone Kosten Was Kostet Eine Zahnkrone

Zahnkrone Kosten Was Kostet Eine Zahnkrone

Zahnkrone Kosten Arten Vor Und Nachteile

Zahnkrone Kosten Arten Vor Und Nachteile

Zahnkrone Kosten Was Kostet Eine Zahnkrone

Zahnkrone Kosten Was Kostet Eine Zahnkrone

Zahnkronen Infos Zu Arten Behandlung Und Kostenubernahme

Zahnkronen Infos Zu Arten Behandlung Und Kostenubernahme

Zahnkrone Kosten Preise

Zahnkrone Kosten Preise

Das Darf Zahnersatz Kosten Die Unterschiede Im Uberblick

Das Darf Zahnersatz Kosten Die Unterschiede Im Uberblick

Zahnkronen Und Zahnbrucken Zahnarzt Dr Fischer Wien U Innsbruck

Zahnkronen Und Zahnbrucken Zahnarzt Dr Fischer Wien U Innsbruck

Zahnkrone Arten Materialien Behandlungsablauf Und Kosten

Zahnkrone Arten Materialien Behandlungsablauf Und Kosten

Was Darf Eine Zahnkrone Kosten Completdent De

Was Darf Eine Zahnkrone Kosten Completdent De

Was Darf Eine Zahnbrucke Kosten Gesamtpreis Zuschuss Zuzahlung 2021

Was Darf Eine Zahnbrucke Kosten Gesamtpreis Zuschuss Zuzahlung 2021

Mehr Zuschuss Beim Zahnersatz Verbraucherzentrale De

Mehr Zuschuss Beim Zahnersatz Verbraucherzentrale De

Zahnkrone Kosten Informationen Zahnbehandlung Novacorpus

Zahnkrone Kosten Informationen Zahnbehandlung Novacorpus

Zahnkrone Es Wird Verwendet Um Fehlende Zahne Zu Ersetzen Optik Und Funktion Wiederherzustellen

Zahnkrone Es Wird Verwendet Um Fehlende Zahne Zu Ersetzen Optik Und Funktion Wiederherzustellen

Zahnkrone Kosten Dentaltrade

Zahnkrone Kosten Dentaltrade

1

1

Zahnersatz Arten Moglichkeiten Krankenkasse Kosten Minimed At

Zahnersatz Arten Moglichkeiten Krankenkasse Kosten Minimed At

Welche Unterschiede Gibt Es Beim Zahnersatz Kostenfalle Zahn

Welche Unterschiede Gibt Es Beim Zahnersatz Kostenfalle Zahn

Zahn Abgebrochen Mit Diesen Kosten Konnen Sie Rechnen

Zahn Abgebrochen Mit Diesen Kosten Konnen Sie Rechnen

Zahnkrone Materialien Kosten Mehr

Zahnkrone Materialien Kosten Mehr

Zahnkrone Und Zahnbrucke Infos U Kosten Aesthetikzahnarzt At Wien

Zahnkrone Und Zahnbrucke Infos U Kosten Aesthetikzahnarzt At Wien

Zahnkrone Kosten Preise

Zahnkrone Kosten Preise

Zahnkrone Kosten Dental Blogdental Blog

Zahnkrone Kosten Dental Blogdental Blog

Alle Infos Uber Zahnkronen Teilkronen Veneers Und Stiftaufbau

Alle Infos Uber Zahnkronen Teilkronen Veneers Und Stiftaufbau

Zahnkrone Arten Behandlung Kosten Mooci

Zahnkrone Arten Behandlung Kosten Mooci

Zahnbrucke Arten Behandlung Kosten

Zahnbrucke Arten Behandlung Kosten

Was Darf Eine Zahnkrone Kosten Completdent De

Was Darf Eine Zahnkrone Kosten Completdent De

Zahnkrone Kosten Preisbeispiele Spartipps Und Mehr

Zahnkrone Kosten Preisbeispiele Spartipps Und Mehr

Zahnkrone Kosten Was Kostet Eine Zahnkrone

Zahnkrone Kosten Was Kostet Eine Zahnkrone

Zahnkrone Kosten Preisbeispiele Spartipps Und Mehr

Zahnkrone Kosten Preisbeispiele Spartipps Und Mehr

Zahnkrone Kosten Was Kostet Eine Zahnkrone

Zahnkrone Kosten Was Kostet Eine Zahnkrone

Was Kostet Herkommlicher Zahnersatz Die Preise Im Uberblick

Was Kostet Herkommlicher Zahnersatz Die Preise Im Uberblick

Zahnimplantate Moglichkeiten Grenzen Minimed At

Zahnimplantate Moglichkeiten Grenzen Minimed At

Vollkeramikkrone Zahnkrone Cerec Zahnarzt Wien 1090

Vollkeramikkrone Zahnkrone Cerec Zahnarzt Wien 1090

Neue Gebuhren Beim Zahnarzt Bluten Fur Die Krone Geld Sz De

Neue Gebuhren Beim Zahnarzt Bluten Fur Die Krone Geld Sz De

Keramikkrone Die Asthetische Und Allergiefreie Krone Dentolo

Keramikkrone Die Asthetische Und Allergiefreie Krone Dentolo

Zahnersatz Ecdi

Zahnersatz Ecdi

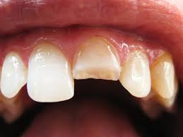
Krone Fur Einen Schneidezahn

Krone Fur Einen Schneidezahn

Zahnkrone Kosten Arten Vor Und Nachteile

Zahnkrone Kosten Arten Vor Und Nachteile

Zahnersatzkosten Ratgeber Ergo

Zahnersatzkosten Ratgeber Ergo

1

1

Erhält weiterhin nur den Festzuschuss von 50 der Regelversorgung.

Die Kosten sind abhängig von der Kronenart dem Material den Zahnarzt- sowie den Laborkosten. Anschließend muss ihn Ihre Krankenkasse genehmigen. Selbstverständlich ist auch eine Teilverblendung der Backenzahn Krone oder Vollverblendung der Vorderzahn Krone möglich jedoch muss man diese dann selbst zahlen bzw. Eine Zahnkrone bedeckt den gesamtem oder ein Teil des Zahnes. Erhält weiterhin nur den Festzuschuss von 50 der Regelversorgung. Eine Krone aus Kunststoff kostet je nach Ausbildung ab 300 und mehr. Wie viel eine Zahnkrone kostet hängt vor allem vom Befund und der Art der Krone ab. Generell kann man sagen dass der Eigenanteil für Zahnkronen zwischen 300 und 1000 Euro variiert. Ihr Zahnarzt stellt vor Behandlungsbeginn einen Heil- und Kostenplan auf.


Wie viel kostet der Unterhalt für ein Kind. Die Unterschiede erklären sich durch die verschiedenen Materialien die unterschiedlich teuer sind. Jede Krone ist eine Maßanfertigung. Die gesetzliche Krankenversicherung zahlt für eine Zahnkrone einen Festzuschuss. Wie viel kostet eine Krone. Es hat sich durch ein Röntgenbild heraus gestellt dass die Krone 1 mm zu kurz ist interdental liegt sie am 6er nicht an. Eine Krone kostet etwa 400 bis 800 Euro.

Posting Komentar untuk "Wie Viel Kostet Eine Krone"