Lompat ke konten Lompat ke sidebar Lompat ke footer

Laser Treatment For Gum Disease Cost

Cost Of Periodontal Treatments Perio Peak

Cost Of Periodontal Treatments Perio Peak

Laser treatment for gum disease cost. LANAP is a laser-based treatment for gum disease. We have two varieties of laser treatment available in our clinic. However it is not just about the cost of LANAP treatment itself.

Your dental professional typically wont commit to a price until theyve had the chance to examine you. Gum disease occurs under the following conditions. At the one end of the spectrum all that may be required is a simple scale and polish ITEM 114 which will set you back 75- 150.

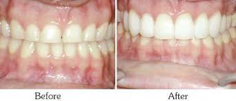
How much does Gum Treatment Cost. Gum lift gingivectomy trims back the excess tissue often through the use of a laser while a gingivoplasty reveals more of the crown of each tooth and contours the remaining flesh. Unlike traditional periodontal surgery there is no cutting and suturing involved.

Actually the cost of a non-surgical laser gum treatment is much less expensive than traditional gum surgery. Costs range from 1000 to 3000 for the procedure. LANAP or Laser Assisted New Attachment Procedure is an FDA approved periodontal laser gum treatment that is less invasive than usual gum surgery.

Laser Treatment for Gum Disease. Costs and Insurance Coverage. Please enquire about the consultation fee with the receptionist when arranging the appointment.

The cost of laser gum treatment depends entirely on the extent of your needs and the severity of your periodontal infection. Laser-assisted periodontitis treatment may sound expensive but it doesnt have to be. The only method of treatment is by using the laser.

It uses an FDA-approved laser known as the PerioLase MVP-7. The treatment is fully designed to be patient comfortable and pain-free.

Laser Therapy For Periodontitis Prices Imi Clinic

Laser Therapy For Periodontitis Prices Imi Clinic

The Cost Of Gum Disease Treatment In Los Angeles

The Cost Of Gum Disease Treatment In Los Angeles

The Cost Of Gum Disease Treatment In Los Angeles

The Cost Of Gum Disease Treatment In Los Angeles

Treatment For Gum Disease

Treatment For Gum Disease

Periodontal Laser Treatment For Gum Disease Cost Procedure Benefit

Periodontal Laser Treatment For Gum Disease Cost Procedure Benefit

Periodontal Laser Treatment For Gum Disease Cost Procedure Benefit

Periodontal Laser Treatment For Gum Disease Cost Procedure Benefit

Best Laser Gum Treatment Fms Dental Hospital Flap Surgery In Hyderabad India

Best Laser Gum Treatment Fms Dental Hospital Flap Surgery In Hyderabad India

Laser Periodontal Disease Austin Laser Dentist Helen Ragsdale Dds

Laser Periodontal Disease Austin Laser Dentist Helen Ragsdale Dds

How Much Does Lanap Cost Advanced Dental Arts Nyc

How Much Does Lanap Cost Advanced Dental Arts Nyc

Laser Periodontal Disease Austin Laser Dentist Helen Ragsdale Dds

Laser Periodontal Disease Austin Laser Dentist Helen Ragsdale Dds

The Benefits Of Laser Gum Surgery In Poway Ca

The Benefits Of Laser Gum Surgery In Poway Ca

Gum Surgery Victoria Tx Gulf Coast Periodontics Dr Rick Heard

Gum Surgery Victoria Tx Gulf Coast Periodontics Dr Rick Heard

Lanap Max Arocha Dmd In Plantation Fl

Lanap Max Arocha Dmd In Plantation Fl

Laser Gum Treatment Lanap Best Laser Dental Clinic Implant Centre

Laser Gum Treatment Lanap Best Laser Dental Clinic Implant Centre

Lanap Laser Gum Surgery Newmouth

Lanap Laser Gum Surgery Newmouth

Perioblast Could Help Millions Of Brits Eradicate Chronic Gum Disease Daily Mail Online

Perioblast Could Help Millions Of Brits Eradicate Chronic Gum Disease Daily Mail Online

Your Ultimate Guide To Periodontal Disease Periodontitis

Your Ultimate Guide To Periodontal Disease Periodontitis

Low Cost Laser Treatment For Gum Disease In Chennai Health Beauty Fitness Service In Anjaneya Nagar Chennai Click In

Low Cost Laser Treatment For Gum Disease In Chennai Health Beauty Fitness Service In Anjaneya Nagar Chennai Click In

Gum Periodontal Disease Causes Risks And Treatment Options

Gum Periodontal Disease Causes Risks And Treatment Options

Periodontist Harold Packman Dmd Periodontics Bowie Md 20716

Periodontist Harold Packman Dmd Periodontics Bowie Md 20716

Gingivectomy

Gingivectomy

Gum Disease Treatment Symptoms Cost Recovery Etc

Gum Disease Treatment Symptoms Cost Recovery Etc

Laser Gingival Flap Surgery Delhi India Cost Of Periodontal Gum Flap Surgery Delhi India

Laser Gingival Flap Surgery Delhi India Cost Of Periodontal Gum Flap Surgery Delhi India

1

1

Periodontal Surgery Preparation Procedure Recovery Cost And More

Periodontal Surgery Preparation Procedure Recovery Cost And More

Gum Disease Signs Symptoms Treatment Options

Gum Disease Signs Symptoms Treatment Options

Gum Flap Surgery For Periodontal Disease Procedure And Recovery Dentist In Santa Rosa

Gum Flap Surgery For Periodontal Disease Procedure And Recovery Dentist In Santa Rosa

Your Ultimate Guide To Periodontal Disease Periodontitis

Your Ultimate Guide To Periodontal Disease Periodontitis

Lanap Max Arocha Dmd In Plantation Fl

Lanap Max Arocha Dmd In Plantation Fl

Laser Periodontal Disease Austin Laser Dentist Helen Ragsdale Dds

Laser Periodontal Disease Austin Laser Dentist Helen Ragsdale Dds

Fast Safe And Effective Laser Dentistry Laser Gum Treatment The Perfect Smile Studios

Fast Safe And Effective Laser Dentistry Laser Gum Treatment The Perfect Smile Studios

Gum Disease Eternal Smiles Dental Implant Braces And Cosmetic Centre

Gum Disease Eternal Smiles Dental Implant Braces And Cosmetic Centre

Lanap Memphis Tn Laser Periodontal Treatment

Lanap Memphis Tn Laser Periodontal Treatment

Best Clinic For Gum Disease In Dublin Portobello Dental

Best Clinic For Gum Disease In Dublin Portobello Dental

Periodontal Treatment Cost Laser Phases Options And More

Periodontal Treatment Cost Laser Phases Options And More

Pros And Cons Of Laser Gum Surgery Vs Traditional Gum Disease Treatmnent

Pros And Cons Of Laser Gum Surgery Vs Traditional Gum Disease Treatmnent

Laser Gingival Flap Surgery Delhi India Cost Of Periodontal Gum Flap Surgery Delhi India

Laser Gingival Flap Surgery Delhi India Cost Of Periodontal Gum Flap Surgery Delhi India

Your Ultimate Guide To Periodontal Disease Periodontitis

Your Ultimate Guide To Periodontal Disease Periodontitis

Laser Assisted Gum Treatment Procedures Upper East Side New York Ny Rozenberg Dental Nyc

Laser Assisted Gum Treatment Procedures Upper East Side New York Ny Rozenberg Dental Nyc

Laser Gum Surgery Treatment Nyc Periodontist Midtown Manhattan Ny

Laser Gum Surgery Treatment Nyc Periodontist Midtown Manhattan Ny

Lanap Max Arocha Dmd In Plantation Fl

Lanap Max Arocha Dmd In Plantation Fl

Gum Disease Kanata On Periodontal Disease Ottawa

Gum Disease Kanata On Periodontal Disease Ottawa

The Secret Is Out Lasers Can Save Your Teeth Millennium Dental Technologies Inc

The Secret Is Out Lasers Can Save Your Teeth Millennium Dental Technologies Inc

Gingivectomy What To Expect Recovery Cost And More

Gingivectomy What To Expect Recovery Cost And More

What Is Laser Assisted Periodontal Therapy Lapt Naples Dentist

What Is Laser Assisted Periodontal Therapy Lapt Naples Dentist

Periodontitis Gum Disease Treatment Auckland Primecare Dental

Periodontitis Gum Disease Treatment Auckland Primecare Dental

What Is The Cost Of Laser Periodontal Therapy

What Is The Cost Of Laser Periodontal Therapy

1

1

This pulsed laser only destroys the bacteria and harmful tissues in your mouth while supporting the regrowth of healthy tissue and bone.

The laser light produces a. Gum disease occurs under the following conditions. The only method of treatment is by using the laser. Laser Gum Surgery. Laser gum treatment provides a less painful and more comfortable treatment option for a number of dental procedures that have to treat hard or soft tissue. On average the price ranges from 50 to 350 per tooth or up to 3000 for the entire gum line across the top front teeth. It primarily works by eliminating infection. One of the main reasons why so many opt for laser dentistry to solve their gum disease issues is that it is a very affordable procedure that yields fantastic results. Current controlled studies have shown that similar results have been found with the laser compared to specific other treatment options including scaling and root planing alone.


As a result patients typically report less pain and discomfort both during and after the procedure. Of course the price of the procedure varies depending on things such as severity of the condition as well as the type and extent of gum disease youre suffering from. This helps remove bacteria that contribute to the gum disease while also getting rid of areas where the bacteria may gather. Allow us to help you determine the best treatments for your individual needs and desires. It uses an FDA-approved laser known as the PerioLase MVP-7. The treatment is fully designed to be patient comfortable and pain-free. As a result patients typically report less pain and discomfort both during and after the procedure.

Posting Komentar untuk "Laser Treatment For Gum Disease Cost"