Lompat ke konten Lompat ke sidebar Lompat ke footer

Kind Hat Bläschen Im Mund

Blaschen Im Mund

Blaschen Im Mund

Kind hat bläschen im mund. Besonders im Sommer und Herbst werden Kinder und Babies von dieser meist harmlosen Virus-Infektion befallen. Das Kind hat hohes Fieber fühlt sich sehr krank und hat eventuell Bläschen oder Aphten im Mund. Guten Tag mein kleiner Sohn hat einen dicken weißen Belag auf der Zunge und zusätzlich noch viele Bläschen im Mund und er sabbert wie ein Wasserfall.

Kinder sollten so lange zu Hause bleiben bis die Bläschen abgeheilt. Mundblasen durch Herpes entstehen besonders oft bei Kindern die sich neu mit dem Virus anstecken. Er verweigert Essen - außer Quark und Trinken -.

Unter anderem bilden sich Bläschen im Mund die eine Nahrungsaufnahme nur unter Schmerzen möglich machen. Diese sogenannte Mundfäule geht. Weißer Belag auf Zunge und Bläschen im Mund.

Mundfäule ist eine durch Herpes-Viren verursachte Entzündung im Mundraum bei der sich auf der Schleimhaut viele kleine Bläschen bilden. Im und am Mund eines kleinen Kindes spielen sich bisweilen abenteuerliche Dinge ab. Falls Ihr Kind die Möglichkeit hat sollten Sie.

Herpangina auch Zahorsky-Krankheit genannt betrifft in erster Linie Kinder. Da diese Infektion hochansteckend ist sollte das Kind zuhause bleiben und möglichst keinen Kontakt zu anderen Kindern oder Schwangeren haben. Ihm ist übel und es hat Bauchschmerzen.

Meistens erscheinen die Bläschen als Begleiterscheinung einer Erkältung oder Grippe seien Sie hier beim Putzen mit einer Zahnbürste für Kinder ganz besonders vorsichtig. Spätestens dann sollten Sie mit ihrem Kind zum Kinderarzt gehen. Er verweigert Essen - außer Quark und Trinken -.

Pflanzliche Tinkturen aus Myrrhe Nelke oder Rhabarberwurzel können. Aber auch Erwachsene können diese Krankheit bekommen.

Kind Mit Blaschen Im Mund Und Zunge Was Tun Bei Aphthen Wiado De

Kind Mit Blaschen Im Mund Und Zunge Was Tun Bei Aphthen Wiado De

Mundfaule Symptome Behandlung Vorbeugung Netdoktor

Mundfaule Symptome Behandlung Vorbeugung Netdoktor

Aphten Oder Aphthen Schmerzhafte Blaschen Am Zahnfleisch

Aphten Oder Aphthen Schmerzhafte Blaschen Am Zahnfleisch

Mundfaule Im Kindergarten Das Mussen Sie Beachten

Mundfaule Im Kindergarten Das Mussen Sie Beachten

Aphthen Schmerzhafte Blaschen Im Mund Gesundheit De

Aphthen Schmerzhafte Blaschen Im Mund Gesundheit De

Virus Infektion Im Landkreis Ausschlag Und Blaschen Im Mund Maz Markische Allgemeine

Virus Infektion Im Landkreis Ausschlag Und Blaschen Im Mund Maz Markische Allgemeine

Aphten Das Hilft Gegen Schmerzhafte Blaschen

Aphten Das Hilft Gegen Schmerzhafte Blaschen

Mundfaule Richtig Erkennen Und Behandeln Focus Arztsuche

Mundfaule Richtig Erkennen Und Behandeln Focus Arztsuche

10 Tipps Bei Aphthen

10 Tipps Bei Aphthen

Hand Mund Fuss Krankheit Symptome Dauer Und Ansteckungsgefahr Wiado De

Hand Mund Fuss Krankheit Symptome Dauer Und Ansteckungsgefahr Wiado De

Wie Feuer Im Mund

Wie Feuer Im Mund

Was Ist Das Blaschen Im Mund Keine Aphte Durchsichtig Keine Schmerzen Blase

Was Ist Das Blaschen Im Mund Keine Aphte Durchsichtig Keine Schmerzen Blase

Blaschen Im Mund

Blaschen Im Mund

Hausmittel Gegen Blaschen Schmerzhafte Aphte Im Mund Diese Gewurzmischung Kann Helfen Shz De

Hausmittel Gegen Blaschen Schmerzhafte Aphte Im Mund Diese Gewurzmischung Kann Helfen Shz De

Durchsichtiges Blaschen Im Mund Herpes Forum Baby Urbia De

Durchsichtiges Blaschen Im Mund Herpes Forum Baby Urbia De

Mutter Und Kind Ratgeber Apotheken Fur Mutter Und Kind

Mutter Und Kind Ratgeber Apotheken Fur Mutter Und Kind

Mundfaule Symptome Ursachen Behandlung Meine Gesundheit

Mundfaule Symptome Ursachen Behandlung Meine Gesundheit

Aphten Ursachen Symptome Und Behandlung Von Geschwuren Im Mund

Aphten Ursachen Symptome Und Behandlung Von Geschwuren Im Mund

Herpes Im Mund Was Kann Man Dagegen Tun Zava Dred

Herpes Im Mund Was Kann Man Dagegen Tun Zava Dred

Erkrankungen Mit Beteiligung Der Mundschleimhaut Bei Kindern Teil 1 Zwp Online Das Nachrichtenportal Fur Die Dentalbranche

Erkrankungen Mit Beteiligung Der Mundschleimhaut Bei Kindern Teil 1 Zwp Online Das Nachrichtenportal Fur Die Dentalbranche

Baby Hat Weisse Flecken Im Mund Was Ist Das Babyartikel De Magazin

Baby Hat Weisse Flecken Im Mund Was Ist Das Babyartikel De Magazin

Herpes Ansteckung Fur Babys Gefahrlich Baby Und Familie

Herpes Ansteckung Fur Babys Gefahrlich Baby Und Familie

Aphthe Im Mund Was Lost Sie Aus Die Besten Tipps Zur Behandlung Stern De

Aphthe Im Mund Was Lost Sie Aus Die Besten Tipps Zur Behandlung Stern De

Https Encrypted Tbn0 Gstatic Com Images Q Tbn And9gcq3bxqlnymnh067vzjajpr2wdunvx6q4r7dceyvnhixkg5cu2jo Usqp Cau

Https Encrypted Tbn0 Gstatic Com Images Q Tbn And9gcq3bxqlnymnh067vzjajpr2wdunvx6q4r7dceyvnhixkg5cu2jo Usqp Cau

Herpangina Bei Baby Und Kind Ursachen Symptome Behandlung Medlexi De

Herpangina Bei Baby Und Kind Ursachen Symptome Behandlung Medlexi De

Zungenblaschen Ursachen Hausmittel Und Therapie Heilpraxis

Zungenblaschen Ursachen Hausmittel Und Therapie Heilpraxis

Aphten Oder Aphthen Schmerzhafte Blaschen Am Zahnfleisch

Aphten Oder Aphthen Schmerzhafte Blaschen Am Zahnfleisch

Mein Kind Hat Die Hand Mund Fuss Krankheit Liliput Lounge

Mein Kind Hat Die Hand Mund Fuss Krankheit Liliput Lounge

Hand Fuss Mund Krankheit Was Hilft Baby Und Familie

Hand Fuss Mund Krankheit Was Hilft Baby Und Familie

Hand Fuss Mund Bei Babys Harmlos Aber Hochansteckend

Hand Fuss Mund Bei Babys Harmlos Aber Hochansteckend

Ausschlag Um Den Mund Periorale Dermatitis Deximed

Ausschlag Um Den Mund Periorale Dermatitis Deximed

So Behandeln Sie Die Hand Mund Fuss Krankheit Bei Ihrem Kind Elternwissen Com

So Behandeln Sie Die Hand Mund Fuss Krankheit Bei Ihrem Kind Elternwissen Com

Aphthen Behandlung Hausmittel Dauer Ansteckung Kanyo

Aphthen Behandlung Hausmittel Dauer Ansteckung Kanyo

Was Iat Das Fur Ne Blase Im Mund Und Was Fur Eine Verletzkg

Was Iat Das Fur Ne Blase Im Mund Und Was Fur Eine Verletzkg

Fieberblasen Enstehung Symptome Netdoktor At

Fieberblasen Enstehung Symptome Netdoktor At

Blaschen Um Den Mund Forum Baby Urbia De

Blaschen Um Den Mund Forum Baby Urbia De

Mundfaule Das Hilft Gegen Die Brennenden Schmerzen Familie De

Mundfaule Das Hilft Gegen Die Brennenden Schmerzen Familie De

Eiterpickel Im Mund So Werden Sie Behandelt

Eiterpickel Im Mund So Werden Sie Behandelt

Aphthen Im Mund Ursachen Symptome Behandlung Hausmittel

Aphthen Im Mund Ursachen Symptome Behandlung Hausmittel

Ursachen Symptome Hilfe Wie Kleine Brandherde Im Mund Aphthen Rbb

Ursachen Symptome Hilfe Wie Kleine Brandherde Im Mund Aphthen Rbb

Hand Fuss Mund Krankheit Ams Ratgeber 01 18 Aok Medienservice Presse Aok Bundesverband

Hand Fuss Mund Krankheit Ams Ratgeber 01 18 Aok Medienservice Presse Aok Bundesverband

Hand Fuss Mund Krankheit Ursachen Symptome Behandlung Minimed At

Hand Fuss Mund Krankheit Ursachen Symptome Behandlung Minimed At

Wie Gefahrlich Ist Herpes Furs Baby Zava Dred

Wie Gefahrlich Ist Herpes Furs Baby Zava Dred

Herpes Im Mund Erkennen Und Behandeln Lippenherpes Ratgeber

Herpes Im Mund Erkennen Und Behandeln Lippenherpes Ratgeber

Mundschleimhautentzundungn Stomatitis Focus Arztsuche

Mundschleimhautentzundungn Stomatitis Focus Arztsuche

Hand Fuss Mund Krankheit Komischer Name Fur Gemeine Blaschen

Hand Fuss Mund Krankheit Komischer Name Fur Gemeine Blaschen

Wissen Am Hv Die Hand Fuss Mund Krankheit Hoch Ansteckend Aber Meist Komplikationslos

Wissen Am Hv Die Hand Fuss Mund Krankheit Hoch Ansteckend Aber Meist Komplikationslos

Hausmittel Gegen Mundfaule Swissfamily

Hausmittel Gegen Mundfaule Swissfamily

1

1

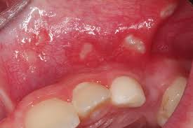
Kinderkrankheiten die beim Kind zu Bläschen im Mund führen Bläschen im Mund sind ein häufiges Problem im KindesalterWährend Aphten gleichermaßen bei Kindern und Erwachsenen auftreten sind Herpangina und Stomatitis aphthosa typische Erkrankungen des Kindesalters.

Ihm ist übel und es hat Bauchschmerzen. Besonders im Sommer und Herbst werden Kinder und Babies von dieser meist harmlosen Virus-Infektion befallen. Wenn Kleinkinder zum ersten Mal in Kontakt mit Herpesviren kommen können sich schmerzhafte Bläschen und oberflächliche kleine Geschwüre im gesamten Mund entwickeln. Bläschen auf der Zunge Beläge in den Wangentaschen Geschwüre auf der Schleimhaut. Was hilft gegen Bläschen im Mund bei Kindern. Bläschen im Mund Ratgeber Die Hand Mund Fuß Krankheit tritt vermehrt im Kindesalter auf und kann sehr schmerzhaft verlaufen. Guten Tag mein kleiner Sohn hat einen dicken weißen Belag auf der Zunge und zusätzlich noch viele Bläschen im Mund und er sabbert wie ein Wasserfall. Das Kind hat hohes Fieber fühlt sich sehr krank und hat eventuell Bläschen oder Aphten im Mund. Im Windelbereich sind einige rote Pünktchen mit einer weißen Stippe.


Besonders im Sommer und Herbst werden Kinder und Babies von dieser meist harmlosen Virus-Infektion befallen. Er verweigert Essen - außer Quark und Trinken -. Mundfäule ist eine durch Herpes-Viren verursachte Entzündung im Mundraum bei der sich auf der Schleimhaut viele kleine Bläschen bilden. Kinder die an der Hand Fuß Mund -Krankheit erkranken sollten Kitas und andere Gemeinschaftseinrichtungen nicht besuchen um andere Menschen nicht anzustecken. Im und am Mund eines kleinen Kindes spielen sich bisweilen abenteuerliche Dinge ab. Da diese Infektion hochansteckend ist sollte das Kind zuhause bleiben und möglichst keinen Kontakt zu anderen Kindern oder Schwangeren haben. Eine zusätzliche tägliche Mundspülung kann schon große unterschiede bewirken aber auch Zahnseide kann helfen.

Posting Komentar untuk "Kind Hat Bläschen Im Mund"